

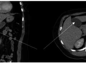
结缔组织病(CTD)是一类结缔组织完整性存在缺陷的疾病,血管壁薄弱是其重要的临床特征之一。Marfan 综合征、Loeys-Dietz 综合征、Ehlers-Danlos 综合征 IV 型等结缔组织病极易发生心血管系统并发症,如主动脉根部扩张、主动脉夹层、胸腹主动脉瘤(TAAA)等。 TAAA 的开放手术治疗通常采用 Crawford 法,直接将内脏动脉、肋间动脉以 Carrel 补片的形式吻合于主动脉人工血管上。但对于 CTD 患者而言,该方法在术后平均 6.5 年内极易在补片处形成动脉瘤,发病率高达 18%,而动脉粥样硬化性 TAAA 患者仅为 5.5%。 采用四分支人工血管可减少该问题的发生,对于内脏血管开口距离较远的非 CTD 患者,该方法也能有效降低操作难度及手术时间(见图 1)。 图 1(A)44 岁女性,Loeys-Dietz 综合征,TAAA 修复术后 19 年发现内脏血管补片动脉瘤,CTA 显示腹腔干开口处存在 2.3 cm 动脉瘤(白色箭头)、肠系膜上动脉及右肾动脉开口处存在 5.5 cm 动脉瘤(黑色箭头);(B)为该患者术中血管重建照片,腹腔干及肠系膜上动脉的开口处予补片进行修补,并通过 16-×8-mm 分支型人工血管予以重建(重建前已行肝总 - 右肾动脉旁路移植术);(C)64 岁女性,退行性 TAAA II 型,CTA 显示动脉瘤直径 7.5 cm,内脏血管开口距离较远(箭头);(D)为四分支人工血管重建主动脉术后 7 个月 CTA 复查图 来自美国约翰·霍普金斯医院的 Black 教授在近期的 Journal of Vascular Surgery 杂志上分享了该团队利用四分支人工血管重建 CTD 患者主动脉的手术经验,让我们一起看一下。 手术技术简介 1. 解剖暴露 I 型 TAAA 可选用第 4 肋间或第 7 肋间作为切口,其中第 4 肋间暴露更为充分,尤其是当近端阻断钳位置靠近于左颈总动脉时。II 型 TAAA 可选用第 6 肋间作为切口,III 型 TAAA 可选用第 7 肋间作为切口(见图 2A)。进胸后暴露腹膜后组织并切断肋弓,距左侧胸壁 2~3 cm 距离弧形切开膈肌。 经左侧腹股沟斜切口暴露左股总动脉行部分左心转流。寻找左肾动脉,游离该区域内可见的腰静脉。这样有利于向前翻转左肾、锐性分离主动脉前方的腹膜后组织。需注意保护主动脉弓远端的迷走神经和喉返神经。分离下肺韧带,显露下肺静脉以行部分左心转流。 图 2(A)虚线示不同类型 TAAA 手术切口;(B)主动脉腔内覆膜支架与人工血管的吻合口可应用带毡垫片予以加强;(C)采用 Vascutek Gelweave Plexus Graft 进行修复,分支环绕支架主体以达到最适构型;(D)采用 Vascutek Gelweave Coselli Thoracoabdominal Graft 进行修复,两端采用带毡垫片加强吻合口 2. 部分左心转流(partial left-sided heart bypass) 部分左心转流时予肝素 100IU/kg,全心转流术时予肝素 300IU/kg。部分左心转流采用亚低温,II 型 TAAA 采用 33℃,而其他类型 TAAA 采用 33~34℃。依据患者体表面积,远端灌注压维持于 60~80 mmHg(1.5~2.5L/min)。依次阻断主动脉,分步评估 TAAA 在胸腔及腹腔的病变,此时远端血流灌注由体外循环(股动脉)维持以降低缺血损伤。 3. 近端吻合 由于 CTD 患者的主动脉壁较为薄弱,近端吻合口常规应用带毡垫片予以加强,腔内覆膜支架与人工血管的吻合亦可采用该方法(见图 2B、2D)。近端吻合完成后立即将阻断钳移至人工血管进行阻断。在左肾动脉后方沿长轴切开主动脉,肾下主动脉放置阻断钳。此时,左心转流的灌注量应适当降低,满足盆腔及下肢血供即可。 每个肾动脉经 12F~14F 静脉导管灌注 250 mL 冷灌注液(甲泼尼龙琥珀酸钠 500 mg 加入 1L 生理盐水),随后经 9F 导管持续灌注冷生理盐水。双肾冷灌注的压力均为 60~70 mmHg。 4. 内脏动脉重建 通常首先重建肾动脉,以降低术中肾缺血时间并减轻术后急性肾小管坏死的可能性。肾动脉重建方式可以选用较长的分支并将其环绕人工血管主体(见图 2C),该方法可有效降低入肾血管的成角与张力。依次重建其余的内脏动脉,注意调整各分支血管的长度及位置,避免扭曲。 在血管重建期间,不常规灌注腹腔干及肠系膜上动脉。原因是 CTD 患者的血管有动脉瘤形成的倾向,灌注可能导致这些血管发生夹层甚至破裂。四分支人工血管使得血管重建过程变得简单,内脏缺血时间约在 20~30 min,内脏的缺血损伤较小。 5. 肋间动脉重建 手术期间运动诱发电位消失的患者需要重建肋间动脉。除了低温停循环的患者以外,其他患者均可采用运动诱发电位以指导肋间动脉重建和术中血流动力学监测。需注意的是,CTD 患者的肋间动脉补片也可形成动脉瘤(见图 3),但其治疗过程中往往很少导致脊髓缺血,这可能与治疗过程中采用脑脊液引流和允许性低血压等措施有关。 图 3(A)32 岁男性,Marfan 综合征,TAAA 修复术后 14 年,CTA 显示一个直径 5.2 cm、T9~T11 肋间动脉补片动脉瘤;(B)该病变的动脉造影;(C)腔内修复术后造影 此外,重建肋间动脉应考虑采用较小的肋间动脉补片(至多两对肋间动脉)或是「桶柄」状吻合结构(见图 4)。 图 4「桶柄」状吻合结构(选自 Woo EY, McGarvey M, Jackson BM, et al. Spinal cord ischemia may be reduced via a novel technique of intercostal artery revascularization during open thoracoabdominal aneurysm repair. J Vasc Surg. 2007;46:421–426) 6. 远端吻合 远端吻合口的位置取决于髂动脉是否存在夹层或是动脉瘤。通常,直径正常但存在夹层的髂动脉也可以不被置换。如果所有的吻合工作完成且远端灌注情况良好,患者即可复温并停止部分左心转流,确切止血后即可关胸、关腹。 7. 组织处理的注意事项 CTD 患者与非 CTD 患者的组织厚度存在显著的差异。即使是在 CTD 患者未发生夹层的「正常」主动脉组织中,缝扎止血也非常困难,主动脉阻断时也极易形成壁间血肿。未施行部分左心转流而进行主动脉重建时,近端主动脉高血压也可能造成严重损伤。因此,在阻断主动脉进行吻合时,通常控制收缩压<90 mmHg。 预后情况 共 30 例 CTD 患者(77% 为 Marfan 综合征,见图 5)接受手术治疗,围手术期死亡率为 10%(死因非主动脉、肾及其他内脏动脉重建相关的并发症)。2 例患者(6.7%)术后接受临时性血液透析。无患者因术后出血接受手术探查,无患者行二次手术开通内脏血管。仅 1 例患者(3%)因脓毒血症出血迟发性脊髓功能损伤。 中位随访 8.33 个月后,97 根内脏血管在重建后均保持通畅,无动脉瘤生成。统计随访时间超过 1 年的患者发现,重建的 63 根血管均保持通畅,远期效果比较理想。 图 5(A)43 岁女性,Marfan 综合征合并 B 型主动脉夹层,CTA 发现一个快速进展的 V 型 TAAA;(B)该患者主动脉重建术后 7 个月 CTA 复查结果;(C)48 岁女性,Marfan 综合征合并 II 型 TAAA,主动脉重建术后 8 个月 CTA 复查结果可见右肾动脉分支环绕人工血管主体 研究者分析认为,采用四分支人工血管治疗对 CTD 患者进行主动脉重建是一种安全有效的治疗措施,可以降低截瘫、肾损伤、内脏缺血的风险,也可减少内脏血管补片发生动脉瘤而需再次行手术治疗的可能性。 原文地址: |